9 clients sur 10 confirment que Cariovico a répondu à leurs attentes
Il n'y a pas longtemps encore j'étais essoufflée après le moindre effort. Juste après avoir monté un étage j'avais des douleurs au cœur et du mal à respirer. C'était horrible. Mes artères coronaires étaient bouchées par des dépôts de cholestérol, ce qui m'a toujours posé problème, même si je ne mange pas d'aliments gras et que je ne bois pas d'alcool. Cariovico s'est avéré être une véritable libération pour moi. En 2 semaines, l'inconfort thoracique a disparu, même après un grand effort. Je suis tellement contente de ne pas avoir eu à passer sous le scalpel, que cela ait pu être traité naturellement. »
Marie Guillot, 55 ans
Grâce au traitement innovant, elle s'est débarrassée de l'ischémie
Je m'appelle Michel Besson et depuis plus de 15 ans je m'occupe de travailler sur les solutions naturelles permettant d'éliminer un certain nombre de maux gênants et dangereux liés à un cholestérol LDL trop élevé, dont les particules scellent progressivement les vaisseaux sanguins comme de la cire, réduisant leur perméabilité, et donc – en bloquant l'apport de nutriments et d'oxygène aux tissus et organes clés, y compris le cerveau et le cœur. Ce genre de problèmes ont souvent une origine génétique bien que dans de nombreux cas, ils soient également le résultat d'une mauvaise alimentation et d'un manque d'exercice. Une chose est sûre - si quelqu'un se sent désorienté, a des vertiges, ressent rapidement de la fatigue, des pointes et de l'inconfort dans la poitrine après l'exercice, a les jambes froides et bleues, cela signifie que l'ischémie entre déjà dans une phase avancée.
Beaucoup de personnes considèrent que le cholestérol élevé n'est pas un problème sérieux, il touche en fin de compte tant de personnes. Je voudrais faire prendre conscience à toutes ces personnes qu'une telle situation entraîne progressivement une altération de la capacité vasculaire et, par conséquent, de graves problèmes de santé. De plus, il s’ajoute souvent à cela des douleurs thoraciques, une fatigue rapide après peu d'effort, un engourdissement des bras et des jambes, des brûlures, des gonflements, des ecchymoses et une peau "marbrée", et dans le pire des cas, même une défaillance d'organe ou une nécrose. Un taux de cholestérol élevé nécessite une réponse immédiate.
Dans mes actions je me concentre sur des façons naturelles d'agir - je considère qu'elles sont plus sûres, contrairement aux méthodes chirurgicales invasives, qui, d'une part, ne garantissent pas l'efficacité et, d'autre part, comportent des risques de complications dangereuses.
Récemment, mon travail se concerte sur une méthode innovante de la lutte contre l'ischémie, qui provoque déjà une véritable révolution dans le monde. Je pense qu'il s'agit d'une véritable avancée dans la médecine naturelle, utilisée depuis des années dans le domaine de l'angiologie.
Des recherches effectuées ont démontré que l'action des ingrédients contenus dans la formule Cariovico fait baisser presque immédiatement le "mauvais" cholestérol, donc sa fraction LDL, tout en normalisant le métabolisme de glucoses et de lipides de l'organisme. Grâce à cela, Cariovico minimise le dépôt de plaques d'athérosclérose dans les artères.
Restaurer le bon profil sucre-graisse dans le corps est extrêmement important, mais ce n'est pas tout. Cariovico a la capacité de ramollir, de desserrer et - enfin - de dissoudre progressivement les dépôts dangereux accumulés au fil des années dans les vaisseaux sanguins. Ils sont évacués du corps en toute sécurité.
Cariovico agit sur plusieurs niveaux. En plus de permettre à l'organisme de retrouver son équilibre biochimique il dégage les vaisseaux artériels bloqués par les lipides. De plus, il tonifie et renforce les tissus délicats des vaisseaux sanguins, améliorant leur état et prévenant le gonflement.
Fini la pression persistante, la douleur, la sensation de piqûre dans la région du sternum. Fini les vertiges et la désorientation. Fini les jambes et les mains engourdies, bleues et éternellement glacées. Grâce à la nouvelle formule, tout le monde a la possibilité de se débarrasser des affections liées à l'ischémie en seulement 30 jours.
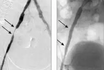
Grâce à des ingrédients soigneusement sélectionnés et concentrés au maximum, les parois des vaisseaux sanguins sont nettoyées des dépôts jusqu'à 91%, et l'oxygène et les nutriments peuvent circuler librement vers les tissus. Une bonne circulation sanguine et le bon fonctionnement du système cardiovasculaire sont la clé d'une vie longue et saine et d'une excellente condition physique.
Cariovico ce ne sont que des ingrédients naturels, sans danger pour le corps. Ils n'alourdissent pas le corps, n'interfèrent pas avec son cycle de fonctionnement et ne provoquent pas d'effets secondaires. Cette préparation peut être utilisée par des personnes de tous âges, quelles que soient les causes de l'hypercholestérolémie et des dépôts lipidiques.
« Cariovico a complètement transformé ma vision du monde ! »
Antoine Germain, 48 ans, Beaune
Depuis un moment je souffrais de désorientation et vertiges. On m'a diagnostiqué des dépôts dans les vaisseaux sanguins responsables de fournir l'oxygène au cerveau. Cela se manifestait non seulement par des problèmes de concentration, mais aussi par une fatigue et une irritabilité rapides. J'étais dévasté - je ne pouvais pas me permettre d'avoir des mauvais moments au travail. Seul Cariovico a pu arrêter mes troubles. En moins de 2 semaines, les artères étaient débloquées. Je me sens comme si j'étais né à nouveau. »
Antoine Germain, 48 ans, Beaune
Jeannine Breton, 72 ans, Grenoble
Cariovico a fait ce que je n'ai pas réussi à atteindre avec d'autres méthodes. Il a fait baisser mon taux de cholestérol, a amélioré tous les résultats, même mon médecin traitant était étonné. Grâce à ça je n'ai pas eu à me faire opérer dans un hôpital. Puis j'ai pu éviter des pilules remplies de substances chimiques que mon foie ne supporte pas. Cela fait 2 mois que j'ai fini la cure et rien ne revient - l'essoufflement et la douleur dans la poitrine appartiennent au passé. Je recommande à toutes les personnes concernées par ce problème. »
Jeannine Breton, 72 ans, Grenoble
Patrice Masson, 65 ans, Chartres
Des années d'alimentation malsaine, j'y suis pour rien, j'ai toujours aimé manger bien et gras… Avec le temps mes jambes ont commencé à me jouer des tours. J'avais l'impression que le sang circulait à peine car elles avaient même l'air grises ou bleues. Je perdais la sensation de mes membres. Puis j'ai eu toutes ces crampes douloureuses. Le médecin m'a prévenu que ça allait mal finir. Heureusement que Cariovico a vite réussi à s'en débarrasser - il m'a permis de retrouver une bonne circulation dans mes jambes et a fait que tous les problèmes ont disparu en à peine 2 semaines. J'ai toujours aimé faire du vélo mais il était dans le garage depuis quelques années. Maintenant je roule tout le temps avec ! »
Patrice Masson, 65 ans, Chartres
Grâce à la formule innovante développée par une équipe internationale dirigée par un chercheur français, tout le monde peut faire face à un cholestérol LDL trop élevé. Seulement 30 jours suffisent pour le faire. Pendant ce temps, des substances hautement concentrées déboucheront les vaisseaux sanguins, renforceront leurs parois et rétabliront une bonne circulation sanguine dans les tissus. Cette formule, grâce aux résultats obtenus dans les cures, a gagné la reconnaissance d'éminents spécialistes en angiologie du monde entier. Il n'est pas étonnant qu'elle gagne également en popularité en France.
La haute efficacité de la préparation Cariovico est garantie par les extraits les plus puissants d'origine naturelle qui, grâce à l'action de la synergie intensifient leurs propriétés mutuellement. Cette formule a été proclamée comme une percée dans l'angiologie naturelle. Ce produit est différent des autres méthodes non invasives - il fait baisser le mauvais cholestérol LDL, rétablit l'équilibre du profil lipidique de l'organisme, facilite le nettoyage naturel des dépôts lipidiques des vaisseaux sanguins, restaure leur élasticité et les renforce, tout en minimisant le risque d'engorgements et de gonflements.
Sans traitements complexes et onéreux. Sans heures passées à faire la queue chez un médecin. Sans longue convalescence. Il suffit de prendre 1 dose de la formule par jour pour pouvoir bientôt profiter de vaisseaux sanguins sains et purifiés.
Des changements bénéfiques dans le corps apparaissent dès la première utilisation. Dans les premiers jours, il y a un soulagement significatif de la pression et de la douleur dans la poitrine, ou des picotements, de la froideur et de la parésie dans les membres. Dans l'étape suivante, on observe des bénéfices liés à une meilleure nutrition et oxygénation des tissus. Avec d'autres produits de ce type, il faut même 2-3 mois de plus pour que l'amélioration soit visible.
Cette formule est différente de toutes les autres que j'ai connues jusque-là. C'est étonnant mais elle agit même sur les parties les plus profondes des vaisseaux sanguins, et cela est sans importance si les tendances ischémiques sont héréditaires ou sont apparues à la suite d'un mode de vie malsain. En tant que spécialiste dans ce domaine, je peux confirmer qu'il n'existe actuellement sur le marché aucun meilleur produit qui fonctionne aussi rapidement et qui n'a aucun effet secondaire. Les créateurs de ce traitement dans la communauté scientifique sont considérés comme candidats certains au prix Nobel. Une telle découverte révolutionnaire n'a pas été faite depuis des années. Surtout, aujourd'hui, tout le monde peut l'utiliser. À mon avis, c'est la formule la plus sûre et la plus efficace actuellement disponible sur le marché français.
spécialiste de la santé artérielle et veineuse
Je suis conscient à quel point les problèmes de cholestérol et de vaisseaux sanguins rétrécis peuvent affecter la vie quotidienne et le bien-être. Je suis convaincu que le traitement Cariovico t'aidera à te débarrasser des troubles désagréables et à retrouver le plein confort de la vie. C'est pourquoi je te fais une offre claire - sans vices cachés ni formalités inutiles. Je suis même sûr que grâce à Cariovico, tu amélioreras l'état de tes vaisseaux sanguins à tel point que l'essoufflement et les picotements disparaîtront, tout comme les ecchymoses et l'ischémie des membres. J'ai couvert le produit d'une garantie spéciale composée de trois éléments :
Cariovico est le seul produit naturel disponible sur le marché qui contient une concentration aussi élevée d'ingrédients actifs. Son efficacité dans la lutte contre les engorgements a été prouvée cliniquement. Le produit original te parviendra uniquement via le biais de ce site.
La formule unique du produit a été soumise aux tests détaillés et est conforme aux normes de qualité les plus hautes. Cariovico est certifié et répond aux standards demandés. Dans le soucis de ton confort et de ta sécurité, ses ingrédients ont été enfermés dans une gélule facile à avaler.
Les tests consommateurs et les essais cliniques confirment l'efficacité et la sécurité de Cariovico. Grâce à sa formule unique, le produit a gagné la reconnaissance des experts les plus éminents du monde entier. En 30 jours, tu pourras éliminer efficacement les dépôts de cholestérol dans les vaisseaux sanguins, renforcer le cœur et améliorer l'ensemble du profil lipidique du corps.
Rejoins le club de réduction, remplis le formulaire et profite de notre offre dès aujourd'hui ! Ici tu payes pour les résultats, et non pas pour les promesses. Nous prenons en charge les frais de la livraison.
Notre offre est sans aucun risque. Si pour une raison quelconque la cure n'apporte pas les résultats souhaités – contacte-nous immédiatement. Nous ferons notre maximum pour résoudre le problème le plus rapidement possible et t’aider à atteindre les résultats souhaités.
Profite dès aujourd'hui de notre stock limité – une si bonne offre ne se répétera pas de sitôt, ESSAYE MAINTENANT !

158 EUR 79 EUR
Commande dès aujourd'hui, économise 79 EUR et reçois le livre électronique « Méthodes de traitement rapide des maladies connues » !
Tu reçois le livre
"Méthodes de traitement rapide des maladies connues"
"Méthodes de traitement rapide des maladies connues" La douleur et les autres troubles de la santé peuvent avoir un impact négatif sur notre bien-être et notre fonctionnement au quotidien. Le présent livre est un guide universel avec des méthodes éprouvées contre les « maux du XXIème siècle ». Grâce aux conseils et aux recommandations que nos spécialistes en médecine ont préparé, prendre soin de notre organisme sera plus facile. Car la santé est essentielle.
Pour payer:
79 EUR
Attendez !
Une réduction unique vous a été attribuée !
L'offre est visible UNIQUEMENT pour vous et sera active pendant encore 15 minutes.

















